
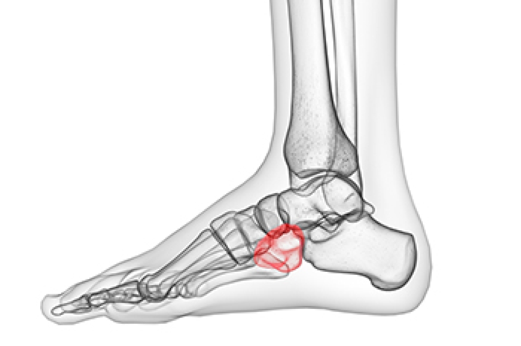
Cuboid syndrome is a foot condition that occurs when the cuboid bone, located on the outer side of the foot, becomes misaligned or restricted. This misalignment can lead to pain and discomfort in the foot, particularly along the outer edge, and can make walking or standing difficult. The main cause of cuboid syndrome is repetitive stress or sudden trauma, such as twisting or rolling the ankle during physical activity. It is commonly seen in athletes or individuals who engage in high-impact sports. Symptoms of cuboid syndrome include sharp pain along the outer part of the foot, swelling, and a feeling of instability when weight is placed on the affected foot. In some cases, people may also experience difficulty moving the foot or a sensation of tightness. If you have pain in this part of your foot, it is suggested that you contact a podiatrist who can accurately diagnose and treat cuboid syndrome.
Cuboid syndrome, also known as cuboid subluxation, occurs when the joints and ligaments near the cuboid bone in the foot become torn. If you have cuboid syndrome, consult with Dr. Robbi Young from Grand Haven Foot & Ankle. Our doctor will assess your condition and provide you with quality foot and ankle treatment.
Cuboid syndrome is a common cause of lateral foot pain, which is pain on the outside of the foot. The condition may happen suddenly due to an ankle sprain, or it may develop slowly overtime from repetitive tension through the bone and surrounding structures.
Causes
The most common causes of cuboid syndrome include:
- Injury – The most common cause of this ailment is an ankle sprain.
- Repetitive Strain – Tension placed through the peroneus longus muscle from repetitive activities such as jumping and running may cause excessive traction on the bone causing it to sublux.
- Altered Foot Biomechanics – Most people suffering from cuboid subluxation have flat feet.
Symptoms
A common symptom of cuboid syndrome is pain along the outside of the foot which can be felt in the ankle and toes. This pain may create walking difficulties and may cause those with the condition to walk with a limp.
Diagnosis
Diagnosis of cuboid syndrome is often difficult, and it is often misdiagnosed. X-rays, MRIs and CT scans often fail to properly show the cuboid subluxation. Although there isn’t a specific test used to diagnose cuboid syndrome, your podiatrist will usually check if pain is felt while pressing firmly on the cuboid bone of your foot.
Treatment
Just as the range of causes varies widely, so do treatments. Some more common treatments are ice therapy, rest, exercise, taping, and orthotics.
If you have any questions, please feel free to contact our office located in Grand Haven, MI . We offer the newest diagnostic and treatment technologies for all your foot care needs.






